Bitte beachten Sie unsere Sprech- und Öffnungszeiten.

ZAHNARZT MECKENHEIM NEWS-ARCHIV

Traumjob Zahnmedizinische:r Fachangestellte:r (ZFA) –  
Ihre Zukunft in unserer Praxis

Dezember 2022

Zahnmedizinische Fachangestellte sind bundesweit sehr gefragt und geschätzt, in Zukunft wird die Bedeutung dieses Berufs noch weiter steigen,  da immer mehr Menschen auf moderne und hochwertige Zahntechnik angewiesen sind. In unserer Zahnarztpraxis in Meckenheim sind sie erste Ansprechpartner:in für unsere Patienten:innen und gleichermaßen ein wichtiger Bestandteil in unserem Team. Unterstützen sie doch die Zahnärzte bei der Erledigung administrativer Aufgaben, der Durchführung von Röntgenaufnahmen und der Organisation von Patiententerminen.

Die Aufgaben von Zahnmedizinischen Fachangestellten (ZFA) ist sehr abwechslungsreich und herausfordernd, sowohl durch kommunikative als auch organisatorische Fähigkeiten. Weiterhin  unterstützen ZFA den Zahnarzt bei der Diagnose und Behandlung von Zahnschäden sowie bei der Kontrolle des gesamten Parodontiums. Die Zahnmedizinische Fachangestellten arbeiten bei uns mit Zahnarzt Frank Bärhausen und weiteren Fachkräften zusammen, um die bestmögliche Versorgung für unsere Patienten zu gewährleisten.

Wir bieten unseren Patienten ausgezeichnete Behandlungen und einen angenehmen Aufenthalt in unserer Praxis. Unsere Zahnmedizinische Fachangestellten sorgen hierbei für einen reibungslosen Ablauf. Daher suchen wir jemanden, der teamfähig ist und bereit ist, sich auch weiterzuentwickeln. In unserer Praxis legen wir großen Wert auf die Weiterbildung unserer Mitarbeiter:innen. Wir bieten Ihnen die Möglichkeit, sich stetig weiterzuentwickeln und so Ihre Karriere in der Zahnmedizin aufzubauen, zum Beispiel zum/zur Zahnmedizinische:r Fachassistent:in (ZMF). Auch eine Fortbildung zum/zur Zahnmedizinische:r Prophylaxe Assistent:in (ZMP) ist ein weiterer Weg.

Wenn Sie interessiert sind, in unserer Praxis zu arbeiten, dann freuen wir uns auf Ihre Bewerbung.

Wir freuen uns auf Ihren nächsten Besuch bei uns - mit modernsten Zahnbehandlungen
→ beispielsweise mit Hilfe von Laser - sanfter und präziser als herkömmliche Methoden.

Ihr Zahnarzt Frank Bärhausen und Praxis-Team aus Meckenheim.

Zahnreport:
Von der Kuration zur Prävention

November 2022

Die Zahngesundheit im jungen und mittleren Lebensalter wird in Deutschland immer besser. Zwischen den Jahren 2012 und 2020 ist bei 20-Jährigen der mittlere Zeitraum ohne invasive Zahntherapie um mehr als sechs Monate auf 4,4 Jahre gestiegen. Bei den 40-Jährigen gab es einen Zuwachs um drei Monate auf 1,9 Jahre. Trotzdem können die Zahlen insgesamt noch nicht zufriedenstellen. Das geht aus dem aktuellen Zahnreport der BARMER hervor, den die Krankenkasse vorgestellt hat.

„Im mittleren Lebensalter kommen die wenigsten Versicherten langfristig ohne Therapie aus. Dies mag auch an der in dieser Phase zunehmend auftretenden Parodontitis liegen, die zum Therapiebedarf beiträgt. Dieser wird im Alter wieder weniger, was unter anderem an der abnehmenden Anzahl der Zähne liegt.“, so lautet es im BARMER-Zahnreport 2022.

Häufige Zahntherapie noch immer die Regel 

Den Ergebnissen des Reportes zufolge gibt es deutliche Unterschiede in der Zahngesundheit zwischen den Geschlechtern. Demnach sind Männer während eines weiten Teils deutlich häufiger langfristig therapiefrei als Frauen. So waren zum Beispiel rund 12,4 Prozent der 49-jährigen Männer und 8,4 Prozent der gleichaltrigen Frauen langfristig ohne zahninvasive Behandlung. Erst ab 70 Jahren kehrt sich das Geschlechterverhältnis um, wobei der Anteil der Personen ohne invasive Zahnbehandlung mit zunehmendem Alter steigt. „Frauen nehmen offenbar mehr zahnärztliche Leistungen in Anspruch als Männer. Zugleich verlieren sie weniger Zähne“, so die BARMER.

Quelle: https://www.barmer.de/zahnreporte

Weitere Infos finden Sie auf unserer Webseite unter:


Wir freuen uns auf Ihren nächsten Besuch bei uns - mit modernsten Zahnbehandlungen
→ beispielsweise mit Hilfe von Laser - sanfter und präziser als herkömmliche Methoden.

Ihr Zahnarzt Frank Bärhausen und Praxis-Team aus Meckenheim.

Unfall mit Folgen:
Jetzt rasch den ausgeschlagenen Zahn retten!

Oktober 2022

Schnell ist es passiert: ein falscher Tritt und man liegt am Boden, ist auf den Herbstblättern bzw. auf Glatteis ausgeruscht oder hat beim Sport den Ball mit einem Hechtsprung noch ins Ziel bringen wollen. Und dann? Oft wird dabei einer der oberen Schneidezähne ausgeschlagen.

Ob nun eine zahnrettende Behandlung Erfolg hat, ist von diesen wesentlichen Faktoren abhängig:
Suchen Sie den Zahn oder das Zahnbruchstück, fassen Sie diese nur an der Zahnkrone an, die Wurzeloberfläche darf nicht berührt werden! Versuchen Sie nicht den Zahn zu säubern oder zu desinfizieren, am Zahn haftende Schmutzpartikel entfernt später das Praxis-Team professionell. Den Zahn auf dem Weg zu unserer Zahnarztpraxis oder zu einer  Zahnklinik feucht halten (siehe dazu unsere Tipps). Rufen Sie am besten, für einen Notfalltermin, schon von unterwegs aus an. Dann sind wir bereits vorbereitet, wenn Sie eintreffen.

Ausgeschlagene Zähne trocknen innerhalb von Minuten aus, Zellen für ein späteres Einheilen sind dann für immer verloren. Daher ist für das Überleben des wieder eingesetzten Zahnes ein geeigneter Transport relevant. Oftmals liest und hört man, dasss man den Zahn in die Mundhöhle zurücksetzen sollte; hier ist die Gefahr des Verschluckens zu hoch - auch können Bakterien den freiliegenden Zahn schädigen. Davon ist abzuraten!

Unser Tipp für den Transport des Zahn zu uns:

  • → Nutzen Sie, wenn möglich, eine Zahnrettungsbox aus der Apotheke. Mit dieser können Sie den Zahn bis zu 24 Stunden sichern. Eine solche Box ist jedem empfohlen, der Kinder zu Hause hat oder sportlich aktiv ist. Bei Zimmertemperatur können Sie Zahnrettungsboxen circa drei Jahre lagern.

  • → Alternativ: in kalter H-Milch (ultrahocherhitzt) einlegen. Damit können Sie das kontinuierliche Absterben der Zellen nicht verhindern, jedoch um max. 1 Stunde verzögern.

  • Wenn beide Möglichkeiten nicht gegeben sind:
  • → In eine saubere Frischhaltefolie wie z.B. Gefrierbeutel eintüten. Hier sollten Sie innerhalb von 30 Minuten bei Ihrem Zahnarzt sein. Eine Trockenlagerung (zum Beispiel in der Hand), reine Wassergefäße oder feuchte Taschentücher sind ungeeignet.

Und wenn der Zahn trotz aller Bemühungen verloren ist, Ihre Zahnarztpraxis aus Meckenheim bietet diese zahnmedizinische Leistungen an:


Wir freuen uns auf Ihren nächsten Besuch bei uns - mit modernsten Zahnbehandlungen
→ beispielsweise mit Hilfe von Laser - sanfter und präziser als herkömmliche Methoden.

Ihr Zahnarzt Frank Bärhausen und Praxis-Team aus Meckenheim.

Was ist der Auslöser bei Mundgeruch und was hilft?

September 2022

In bis zu 90 Prozent aller Fälle liegt die Ursache für schlechten Atem im Mund oder im Rachenraum. Dabei neigen Menschen mit geringem Speichelfluss, der körpereignen Putzkolonne, verstärkt zu Mundgeruch. U.a. können auch Medikamente den Speichel vermindern. Hilfreich ist es dann ausreichend zu trinken.

Trotz ausreichend Speichel und guter Mundhygiene - auch unter Verwendung von Mundwasser - bleibt der Mundgeruch? Der ständige Einsatz von Mundspülungen ohne medizinische Notwendigkeit kann das Gleichgewicht im Mundraum stören. Daher sollten Sie diese nur maximal zwei Wochen anwenden. Danach ist die erste Adresse Ihre Zahnarztpraxis Frank Bärhausen in Meckenheim. Wir untersuchen, ob schadhafte Zähne oder Zahnfleischerkrankungen den Mundgeruch verursachen.

Häufig sind es lediglich Essensreste, die sich in Zahnfleischtaschen ansammeln. In diesen Fällen hilft es, Zahnzwischenräume besonders gründlich mit Zahnseide zu reinigen. Obacht: Mundduschen können Plaque (Zahnbelag) und damit Bakterien die Tiefen der Taschen treiben. Diese sind Auslöser für Parodontitis. Daher sollten Sie hier besser eine → Professionelle Zahnreinigung (PZR) durchführen lassen. Krankhaft entzündliche Prozesse, wie durch Zahnfleisch- oder Zahnwurzelentzündungen verursacht, können wir Zahnärzte behandeln.

Unser Tipp: Schlechter Geruch, der zum Beispiel nur durch Knoblauch oder Zwiebeln verursacht wird, kann man nicht vollständig eindämmen. Einfach frische Minzblätter, Grüner Tee, Zitronensaft und Äpfel oder Banane unmittelbar nach dem Mahl genießen, reduziert in aller Regel den üblen Atem.

Wir bieten in unserer Zahnarztpraxis aus Meckenheim diese zahnmedizinische Leistungen an:


Wir freuen uns auf Ihren nächsten Besuch bei uns - mit modernsten Zahnbehandlungen
→ beispielsweise mit Hilfe von Laser - sanfter und präziser als herkömmliche Methoden.

Ihr Zahnarzt Frank Bärhausen und Praxis-Team aus Meckenheim.

Sportlich im Vorteil:
Der Sport-Mundschutz hält die Deckung!

August 2022

Man hat sie schon oft gesehen: die Schiene im Mund eines Profi-Boxers. Aber auch Basketball-, Hockey- und sogar Fussballspieler haben einen – den Sport-Mundschutz – von Ihrem Zahnarzt individuell angefertigt.

Für die meisten Sportarten reicht es aus, lediglich die obere Zahnreihe zu schützen. Dabei sind industriell vorgefertigte Formen aus dem Sportgeschäft nicht ideal, da diese keine Anpassungsmöglichkeit an die eigene Anatomie bieten. Bekannte Nachteile sind dabei neben einem lockeren Sitz auch kein oder nur unzureichender Schutz im "Gefahrenbereich Mund". Das beginnt bei Verletzung des Zahnfleisches und im endet im Extremfall sogar mit der Verstärkung des auftreffenden Schlages.

Wirkungsvollen Mundschutz gibt es von uns, Ihrem Zahnarztteam aus Meckenheim: Wir fertigen verschiedene Modelltypen (je nach Alter, Sportart und Leistungslevel). Die jeweils sehr gute Passform fängt Schläge auf und absorbiert die Schlagkraft mit dem Ziel, den Zahnapparat bestmöglich zu schützen. Zähne, Lippen, Zunge und Kiefer haben durch die gleichmäßige Verteilung der Kräfte beste Chancen, einen "Treffer" unbeschadet zu überstehen. Das Risiko einer Gehirnerschütterung kann dabei ebenfalls vermindert werden. Insbesondere bei Schlägersportarten wie Feld- und Eishockey, aber auch beim American Football ist der Mundschutz ein nicht mehr weg zu denkender „Begleiter“. Selbst die beliebten Cheerleader am Spielfeldrand tragen bei ihrem akrobatischen Sport die – oftmals transparente – Schiene. Ein Mundschutz kann auch in allen bekannten Vereinsfarben angefertigt werden. Jugendliche, wie Skater, Longboarder, BMX-Fahrer, Mountainbiker etc. tragen neben dem unverzichtbaren Helm mittlerweile auch den Sport-Mundschutz. Denn nichts kann uncooler sein, als ein verlorenes Lächeln.

Wir bieten in unserer Zahnarztpraxis aus Meckenheim diese zahnmedizinische Leistungen an:


Wir freuen uns auf Ihren nächsten Besuch bei uns - mit modernsten Zahnbehandlungen
→ beispielsweise mit Hilfe von Laser - sanfter und präziser als herkömmliche Methoden.

Ihr Zahnarzt Frank Bärhausen und Praxis-Team aus Meckenheim.

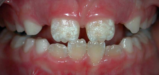
Schon mal was von "Kreidezähnen" gehört?
Molaren-Inzisiven-Hypomineralisation (MIH)

Juli 2022

Molaren-Inzisiven-Hypomineralisation, kurz MIH, betrifft mittlerweile knapp ein Drittel aller Zwölfjährigen in Deutschland: die geschädigten Zähne sind im schlimmsten Fall mitunter stark berührungsempfindlich und bröckeln dann nach und nach einfach weg.

Betroffen sind im Kindergebiss die ersten bleibenden Backenzähne (Sechsjahrmolaren) und die obersten Frontzähne (Inzisivi). Ursache für diese beschriebene Krankheit ist, dass im Zahnschmelz dieser Zähne Minerialien fehlen (Hypomineralisation). Das erste Lebensjahr scheint für die Fehlbildung entscheidend zu sein.

Die Diagnose kann durch uns sicher gestellt werden: Die Therapie erfolgt hauptsächlich mit Kunststoff-Füllungen, um den fehlenden Zahnschmelz zu ersetzen. Ist der komplette Zahn betroffen kann dieser mit einer Krone versorgt werden. Ziel ist es stets, die vorhandene Zahnsubstanz zu erhalten.

Meistens ist nur die ästhetisch Erscheinung betroffen (weiße oder gelblich-braune Flecken auf den Zähnen). Somit besteht nur bei ca. 5% der Kinder ein → akuter Handlungsbedarf. Die Forschung ist bisher noch nicht auf den Grund gekommen, was der Auslöser dieser Krankheit ist. Ob es Belastungen aus der Umwelt sind (Bisphenol A steckt als Weichmacher in Plastik) oder ob bestimmte Medikamente oder gar Infektionskrankheiten für diese Mangelerscheinung verantwortlich sein können wird noch genauer untersucht.

Was kann man selbst gegen "Kreidezähne" tun?

  • • Zahnpflege mit Fluorid
  • • Gesunde Ernährung
  • • Desensibilisierende Pasten
  • • Regelmäßige Besuche beim Zahnarzt

© Foto: Public Domain Attribution 2.0 Generic (CC BY 2.0) by Licence of biomedcentral.com (appropriate credit)

Wir bieten in unserer Zahnarztpraxis in Meckenheim umfangeiche zahnmedizinische Leistungen an:


Wir freuen uns auf Ihren nächsten Besuch bei uns - mit modernsten Zahnbehandlungen
→ beispielsweise mit Hilfe von Laser - sanfter und präziser als herkömmliche Methoden.

Ihr Zahnarzt Frank Bärhausen und Praxis-Team aus Meckenheim.

Seniorenfreundliche Zahnarztpraxis:
Gute Zahnpflege auch für Pflegebedürftige

Juni 2022

Unsere Praxis wurde als Seniorenfreundlicher Betrieb in Meckenheim ausgezeichnet, da wir über Aufzug und Rampen barrierefrei erreichbar sind. Darüber hinaus bieten wir "Therapeutische Prothesenwartungen" an. So holen wir Prothesen z. B. im Seniorenheim ab, reinigen und polieren diese. Bei Bedarf erfolgt eine Instandsetzung. Das Reinigen und Polieren dauert wenige Stunden, danach erhalten die Patienten diese wieder zurück. Weiterhin bieten wir pflegebedürftigen Menschen - nach Absprache - in ihrer gewohnten Umgebung entsprechende Kontrolluntersuchungen an.

Für viele Senioren sind gesunde Zähne Ausdruck von Selbstbewusstsein und einer hohen Lebensqualität. Mit zunehmendem Alter lässt jedoch die Immunabwehr nach und Bakterien haben leichtes Spiel: Gerade in schwer zugänglichen Bereichen wie Brücken, Kronen sowie den Zahnzwischenräumen kann Zahnhalskaries und Parodontitis die Folge sein. Diese Entzündungen können dann beispielsweise Herz-Kreislauferkrankungen verstärken oder Diabetes verschlimmern. Eine gründliche Zahnpflege ist somit von großer Wichtigkeit.

Wir bieten in unserer Zahnarztpraxis in Meckenheim umfangeiche zahnmedizinische Leistungen an:


Wir freuen uns auf Ihren nächsten Besuch bei uns - mit modernsten Zahnbehandlungen
→ beispielsweise mit Hilfe von Laser - sanfter und präziser als herkömmliche Methoden.

Ihr Zahnarzt Frank Bärhausen und Praxis-Team aus Meckenheim.

Keine Angst mehr vor dem Zahnarzt:
Trendwende in der Zahnmedizin bei Karies & Co.

Mai 2022

Fast die Hälfte der Deutschen haben Angst vor der Zahnbehandlung: 49 Prozent vor dem Bohrer und 47 Prozent vor dem Ziehen eines Zahnes*. Das muss nicht sein!

Ein regelmäßiger Zahnarztbesuch ist Pflicht, um zum Beispiel Karies rechtzeitig zu erkennen. Bei einem Verdacht bleibt genügend Zeit für eine Behandlung ohne Bohrer. Grund ist: Karies entwickelt sich langsam. Zudem gibt es Methoden, wie den Einsatz von Fluorid oder eine Versiegelung, um den Zahn weitgehend vor der noch nicht weiter vorgedrungenen Karies zu schützen. Wir, Ihre Zahnarztpraxis in Meckenheim, können einschätzen, welches Stadium eine Karies erreicht hat und empfehlen dann die bestmöglichste Methode.

Eine rührende Geschichte wollen wir Ihnen nicht vorenthalten: Um Kindern die Angst zu nehmen, gibt es speziell trainierte "Beruhigungshunde". Diese Hunde sitzen während der Behandlung mit auf dem Behandlungsstuhl. Die kleinen Patienten können das Tier streicheln und entspannen dabei. Ein Beruhigungsmittel ist oftmals nicht mehr erforderlich. Leider ist diese Methode nur bei unseren Kollegen im Ausland möglich. Grund sind die sehr hohen Hygienestandards in Deutschland. Ausnahmen können nur für Blindenführ- und Assistenzhunde vergeben werden, die durch ein jahreslanges und intensives Training ihr Herrchen begleiten.

Wir bieten jedoch allen Patienten in Meckenheim nachfolgende Methoden an:




Gerne informieren wir Sie ausführlich und freuen uns auf Ihren nächsten Besuch bei uns!



* Quelle: Forsa-Institut, Berlin (repräsentative Umfrage)

Wir freuen uns auf Ihren nächsten Besuch bei uns - mit modernsten Zahnbehandlungen
→ beispielsweise mit Hilfe von Laser - sanfter und präziser als herkömmliche Methoden.

Ihr Zahnarzt Frank Bärhausen und Praxis-Team aus Meckenheim.

Genialer Lückenfüller:
Festsitzende Zahnkrone statt herausnehmbare Zähne

April 2022

Bei Zahnlücken, die den Gegenbiss beeinträchtigen, ist es sinnvoll ein Zahnimplantat anzufertigen. Implantate wirken beim Kauen auf den Kieferknochen und beugen so dem Knochenschwund vor. Zudem wird mitunter die Ästhetik, die Kaukraft und die Phonetik verbessert.

Wir prüfen, ob der Kieferkamm genügend Höhe hat und ausreichend Knochenbreite vorhanden ist. Danach setzen wir eine entsprechende "Kunstwurzel" ein. Diese wird in den Knochen eingedreht und besteht entweder aus Titan, Zirkonoxid, Keramik oder beschichtetem Metall. Eine Allergie gegen entsprechende Legierungen sollte beim Patienten nicht vorliegen. Weitere Informationen finden Sie hier →


Rund ein halbes Jahr nach dem Einsetzen wird ein Aufbaugewinde eingeschraubt und eine individuell gefertigte Zahnkrone verklebt. Je nach Art der Kunstwurzel hält das Implantat viele Jahre (ein Risiko eines Misserfolges ist bei Rauchern erhöht), statistisch hält dieses im Unterkiefer länger als im stärker beanspruchten Oberkiefer. Wichtig ist später die eigene Mundhygiene und Zahnreinigung, eine regelmäßige → professionelle Prophylaxe ist hier ein Muss. Es ist somit möglich die Erfolgsquote zu steigern.

Diese hochwertige Gebisssanierung hat seinen Preis: Unsere Heil- und Kostenplanung erfassen das gesamte Impantatsystem, so dass Sie ganz sicher mit Ihrem Kassen- und Eigenanteil rechnen können.

Wir freuen uns auf Ihren nächsten Besuch bei uns - mit modernsten Zahnbehandlungen
→ beispielsweise mit Hilfe von Laser - sanfter und präziser als herkömmliche Methoden.

Ihr Zahnarzt Frank Bärhausen und Praxis-Team aus Meckenheim.

Zahnlücke? Eine Zahnzusatzversicherung kann helfen

März 2022

Nach einer Gfk-Studie* hat jeder achte Deutsche eine Zahnlücke. Den Zahnersatz können sich viele jedoch nicht leisten. Nur 44,9 Prozent** der gesetzlich Versicherten sind mit der Regelversorgung zufrieden, denn der notwendige Eigenanteil ist für viele Mitglieder zu hoch.

Das Ergebnis dürfte bei Vielen die Frage aufwerfen, wie es eigentlich um die eigene Zahnvorsorge bestellt ist - und welche Kosten auf einen zukommen, wenn umfangfeiche zahnärztliche Maßnahmen anstehen: Brücken, Kronen, Inlays und → Implantate.

Wer sich vor solchen Risiken und den damit verbundenen Kosten schützen möchte, sollte eine private Zahnzusatzversicherung abschließen. Laut Stiftung Warentest am besten bis etwa Mitte 30, da statistisch dann der → Zahnersatz häufiger nötig wird.

Auch umfassende → Prophylaxe Maßnahmen können in den Tarifen enthalten sein: Die Bereitschaft zur Vorsorge ist ein wichtiger Faktor für die Zahngesundheit. Wie lange beispielsweise eine Füllung hält, kommt somit nicht nur auf deren Qualität an, sondern auch auf die Bereitschaft, aktiv etwas für die eigene Zahngesundheit zu tun!


+++ Aus aktuellem Anlass +++

Zahnarzt Meckenheim

* Quelle: www.gfk-verein.org | ** Quelle: Focus Online

Wir freuen uns auf Ihren nächsten Besuch bei uns - mit modernsten Zahnbehandlungen
→ beispielsweise mit Hilfe von Laser - sanfter und präziser als herkömmliche Methoden.

Ihr Zahnarzt Frank Bärhausen und Praxis-Team aus Meckenheim.

Entspannte Zahnbehandlung – mit Lachgas

Februar 2022

Wir bieten unseren Patienten eine bewährte und sichere Lachgas-Betäubung (Sedierung) an. Diese Methode ist ideal für die Behandlung von Angstpatienten, Kindern und schmerzempfindlichen Patienten. Mittels unserer modernen Digital-Geräte ist die Tiefe der Sedierung stets sehr gut steuerbar, individuell nach dem persönlichen Bedarf.

Neben den gesetzlich vorgeschriebenen Maßnahmen während einer Sedierung misst ein zusätzlicher Fingersensor die Herzfrequenz und die Sauerstoffsättigung im Blut unserer Patienten, was ein weiteres Plus an Sicherheit bedeutet. Ein Risiko bei der Anwendung von Lachgas durch Ihren Zahnarzt Frank Bärhausen ist nicht gegeben, da wir über ein millionenfach erprobtes Matrix Lachgassedierung-System verfügen, was nur die maximale Menge vom Lachgas zulässt. Die Sedierung mit Lachgas wird in der Regel privat abgerechnet. 

Ausführliche Informationen zu diesem Thema finden Sie auch in unserer Rubrik "Leistungen" unter dem Beitrag "Lachgassedierung" oder fragen Sie uns danach – wir beraten Sie gerne persönlich in unserer Zahnarztpraxis in Meckenheim!


Ein Experten-Interview zum Thema "Was gegen die Angst vorm Bohrer hilft" finden Sie im FocusOnline:

Mit Lachgas gegen die Zahnarzt-Phobie

Bildrechte: www.baldus-medizintechnik.de

Wir freuen uns auf Ihren nächsten Besuch bei uns - mit modernsten Zahnbehandlungen
→ beispielsweise mit Hilfe von Laser - sanfter und präziser als herkömmliche Methoden.

Ihr Zahnarzt Frank Bärhausen und Praxis-Team aus Meckenheim.

Zahnarzt Frank Bärhausen Meckenheim

Aus der Gemeinschaftspraxis wird die Zahnarztpraxis Frank Bärhausen in Meckenheim

01 Januar 2022

Das Jahr 2022 startete nach vielen Jahren gemeinsamer Berufsausübung ohne unseren geschätzten Kollegen und Freund Zahnarzt Frank van Doorn.  

Nach dem unerwarteten Verlust im Herbst 2021 trat eine zulassungsrechtliche Änderung ein: Die bisher als Gemeinschaftspraxis geführte Zahnarztpraxis leitet nun Zahnarzt Frank Bärhausen als alleiniger Praxisinhaber weiter.

Frank Bärhausen nahm den Umstand zum Anlass und löste im diesem Zuge die bisher gewohnte Praxis-Optik mit einem neuen Gestaltungskonzept auf. Ein neues Logo, aktuelle Farbpaletten und eine technisch überarbeitete Praxiswebseite sind die ersten Schritte in eine neue Zukunft.

Die gewohnte Qualität unserer Arbeit wird weiter fortgeführt, für die kommenden Monate ist auch eine Erweiterung des Teams geplant. Eine oder einen geeignete Wunschkandidatin bzw. -kandidaten für eine assistenzzahnärtliche Stelle zur Unterstützung wird uns bereichern. 

Wir freuen uns auf Ihren nächsten Besuch bei uns! Mit modernsten Zahnbehandlungen, beispielsweise mit Hilfe von Laser - sanfter und präziser als herkömmliche Methoden.